Pathopic
HiPaKu
ZyPaKu
PathoBasic
PathoBasic Cytology
Quizzes
Projektinfos
PathoPic - Projekt- und Copyright-Infos
About
Pathopic
HiPaKu
ZyPaKu
PathoBasic
PathoBasic Cytology
Quizzes
PathoPic – image database
/
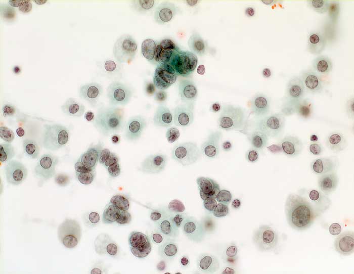
PathoPic ID 6482 - kleinzelliges Bronchuskarzinom
de
Diagnose
kleinzelliges Bronchuskarzinom
Diagnose Gruppe
maligner Tumor
Topographie
Pleuraerguss Zytologie
Topographie Gruppe
Körperhöhlen, Serosa
Beschreibung
Pleuraerguss: Die
Tumorzellen bilden zeilenförmige Verbände. Die Kerne mit Pfeffer und Salz Chromatin und kleine Nukleolen dellen sich gegenseitig ein.
Bilder Typ
Zytologie
Vergrösserung
400
Alter
54
Geschlecht
männlich
Datum
Ersteintrag: 02.03.2003
Update: 04.02.2024
CPS
·
©
2024 Institut für Pathologie Basel
/
Dr. med. Katharina Glatz-Krieger
.
·
v2.1