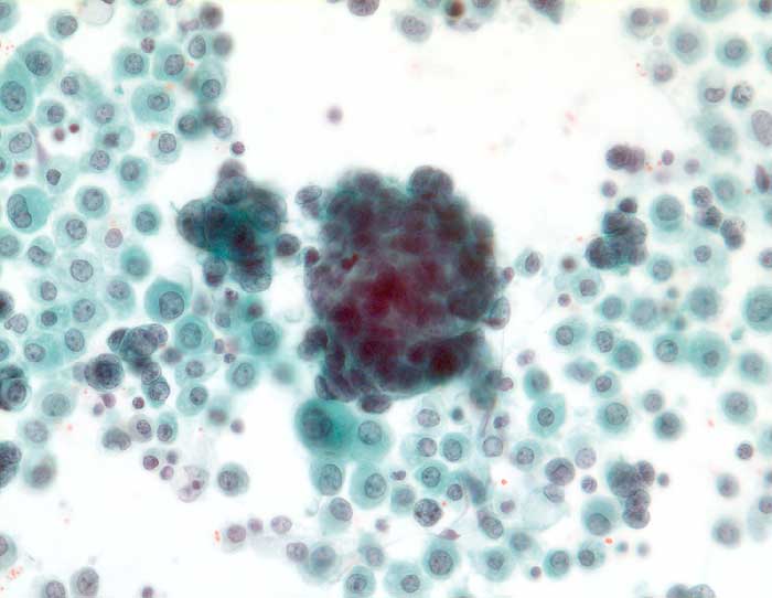
PathoPic – image database / PathoPic ID 6483 - kleinzelliges Bronchuskarzinom

de
Diagnose
kleinzelliges Bronchuskarzinom
Diagnose Gruppe
maligner Tumor
Topographie
Pleuraerguss Zytologie
Topographie Gruppe
Körperhöhlen, Serosa
Beschreibung
Pleuraerguss: kleine dichte Aggregate atypischer Zellen mit polymorphen hyperchromatischen Kernen, die sich gegenseitig eindellen und einem sehr schmalen Zytoplasma.
Bilder Typ
Zytologie
Vergrösserung
320
Alter
54
Geschlecht
männlich
Datum
Ersteintrag: 02.03.2003
Update: 04.02.2024