PathoPic – image database / PathoPic ID 6493 - Granulomatöse Thyreoiditis de Quervain

de
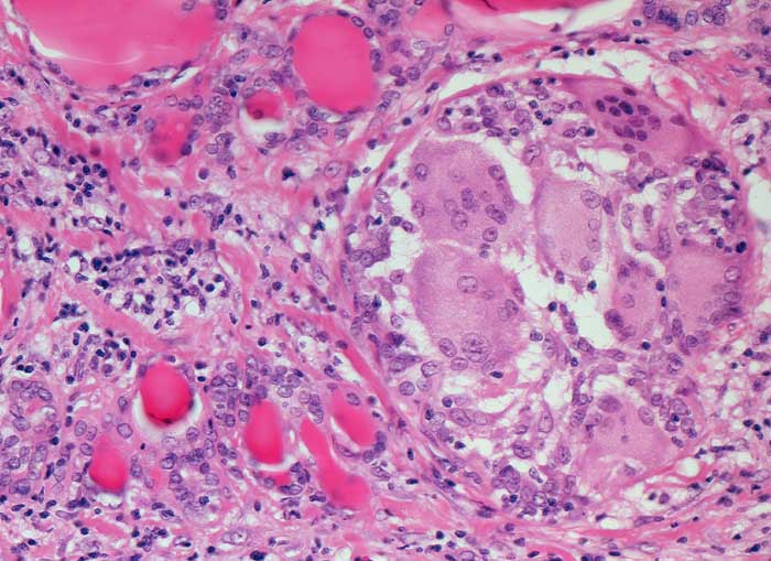
Diagnose
Granulomatöse Thyreoiditis de Quervain
Diagnose Gruppe
Entzündung / Reparatur
Topographie
Schilddrüse
Topographie Gruppe
Endokrinium
Beschreibung
Das Schilddrüsenparenchym wird von einer granulomatös-riesenzelligen Entzündung zerstört.
Klinik
Unklarer Schilddrüsentumor rechts, solitär, derb
Bilder Typ
Histologie
Vergrösserung
200
Alter
48
Geschlecht
männlich
Datum
Ersteintrag: 11.03.2003
Update: 04.02.2024