PathoPic – image database / PathoPic ID 6494 - Granulomatöse Thyreoiditis de Quervain

de
Diagnose
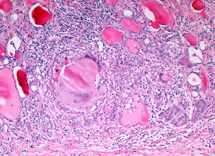
Granulomatöse Thyreoiditis de Quervain
Diagnose Gruppe
Entzündung / Reparatur
Topographie
Schilddrüse
Topographie Gruppe
Endokrinium
Beschreibung
Das Schilddrüsenparenchym wird fokal von einer granulomatös-riesenzelligen Entzündung zerstört. Mehrere Riesenzellen umgeben das Kolloid eines zerstörten Follikels.
Klinik
Unklarer Schilddrüsentumor rechts, solitär, derb
Bilder Typ
Histologie
Vergrösserung
100
Alter
48
Geschlecht
männlich
Datum
Ersteintrag: 11.03.2003
Update: 04.02.2024