PathoPic – image database / PathoPic ID 6523 - Toxoplasma Enzephalitis

de
Diagnose
Toxoplasma Enzephalitis
Diagnose Gruppe
Entzündung infektiös
Topographie
Hirn frontal
Topographie Gruppe
Nervensystem
Beschreibung
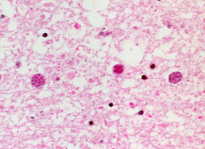
Nekroseherd im Marklager. Im Bild sind drei Pseudozysten mit Bradyzoiten zu sehen.
Kommentar
Der Erreger der Toxoplasmose, Toxoplasma gondii, ist ein obligat intrazellulärer Einzeller, der im Menschen in zwei Differenzierungsformen vorkommt: als schnell replikative Tachyzoiten, die mit der akuten Phase der Infektion assoziiert sind und als chronische Dauerformen (Bradyzoiten), die in Zystenform vor allem im Gehirn lokalisiert sind. Eine Reaktivierung der chronischen Infektion in stark immungeschwächten Patienten kann zu dem schweren Krankheitsbild der toxoplasmatischen Enzephalitis führen.
Bilder Typ
Histologie
Vergrösserung
400
Alter
40
Geschlecht
unbekannt
Datum
Ersteintrag: 18.03.2003
Update: 04.02.2024