PathoPic – image database / PathoPic ID 6532 - Follikuläre Zervizitis

de
Diagnose
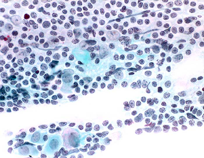
Follikuläre Zervizitis
Diagnose Gruppe
Entzündung / Reparatur
Topographie
Portio
Topographie Gruppe
Genitalorgane, weiblich
Beschreibung
Portio/Zervixabstrich: dicht gelagerte Keimzentrumszellen.
Klinik
Vorsorgeuntersuchung
Bilder Typ
Zytologie
Vergrösserung
400
Alter
61
Geschlecht
unbekannt
Datum
Ersteintrag: 20.03.2003
Update: 04.02.2024