Diagnose
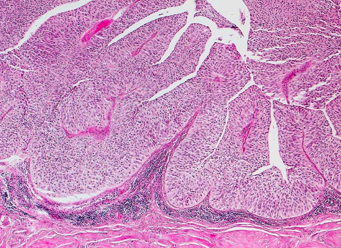
Nicht invasives papilläres Urothelkarzinom, low grade pTa, G2
Diagnose Gruppe
maligner Tumor
Topographie Gruppe
Niere, Harnwege
Beschreibung
Das bedeckende Urothel des papillären Tumors ist deutlich verdickt. Verglichen mit normalen Urothel sind die Zellen dieses mässig differenzierten Tumors leicht vergrössert und hyperchromatisch. Dadurch erscheint das Epithel etwas dunkler als normales Urothel. Eine Stromainvasion ist nicht nachweisbar.
Klinik
Rezidivierende Urotheltumoren. Aktuell: Ureter-Tumor.
Datum
Ersteintrag: 26.03.2003
Update: 04.02.2024