Pathopic
HiPaKu
ZyPaKu
PathoBasic
PathoBasic Cytology
Quizzes
Projektinfos
PathoPic - Projekt- und Copyright-Infos
About
Pathopic
HiPaKu
ZyPaKu
PathoBasic
PathoBasic Cytology
Quizzes
PathoPic – image database
/
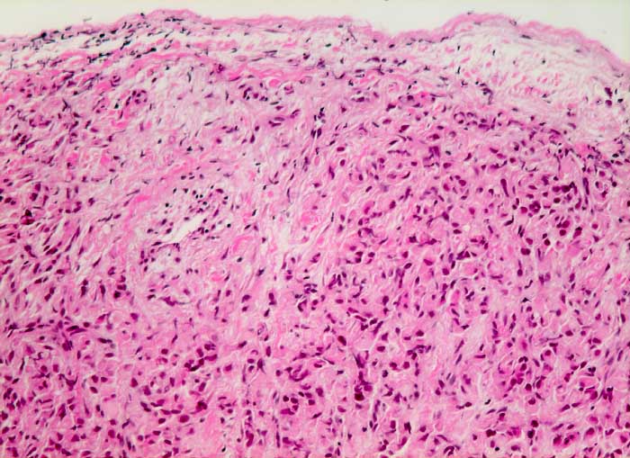
PathoPic ID 6557 - Metastase: Mammakarzinom
de
Diagnose
Metastase: Mammakarzinom
Diagnose Gruppe
maligner Tumor
Topographie
Pleura
Topographie Gruppe
Körperhöhlen, Serosa
Beschreibung
Die Pleura wird diffus infiltriert von epitheloidzelligen Tumorzellen mit hyperchromatischen Kernen.
Klinik
Verdacht auf malignen Pleuraerguss links. Mamma-Karzinom.
Bilder Typ
Histologie
Vergrösserung
100
Alter
88
Geschlecht
unbekannt
Datum
Ersteintrag: 27.03.2003
Update: 04.02.2024
CPS
·
©
2024 Institut für Pathologie Basel
/
Dr. med. Katharina Glatz-Krieger
.
·
v2.1