Pathopic
HiPaKu
ZyPaKu
PathoBasic
PathoBasic Cytology
Quizzes
Projektinfos
PathoPic - Projekt- und Copyright-Infos
About
Pathopic
HiPaKu
ZyPaKu
PathoBasic
PathoBasic Cytology
Quizzes
PathoPic – image database
/
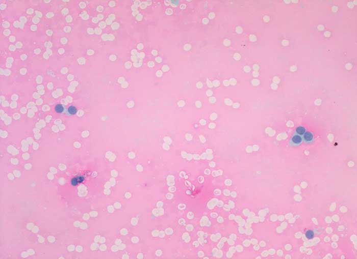
PathoPic ID 6573 - wässriges Kolloid
de
Diagnose
wässriges Kolloid
Diagnose Gruppe
Normalbefund
Topographie
Schilddrüse
Topographie Gruppe
Endokrinium
Beschreibung
Feinnadelpunktion Schilddrüse: im Hintergrund wässriges rosafarbenes Kolloid mit vereinzelten kleinen Thyreozyten.
Bilder Typ
Zytologie
Vergrösserung
200
Alter
58
Geschlecht
unbekannt
Datum
Ersteintrag: 30.03.2003
Update: 04.02.2024
CPS
·
©
2024 Institut für Pathologie Basel
/
Dr. med. Katharina Glatz-Krieger
.
·
v2.1