PathoPic – image database / PathoPic ID 6574 - muzinöses Adenokarzinom der Lunge

de
Diagnose
muzinöses Adenokarzinom der Lunge
Diagnose Gruppe
maligner Tumor
Topographie
Lunge
Topographie Gruppe
Lunge, Mediastinum mit Thymus
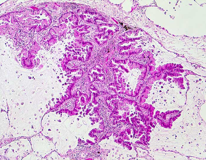
Beschreibung
Monomorphe, hochzylindrische schleimbildende Zellen mit basalständigen Kernen und geringen Atypien tapezieren die Alveolarsepten aus. Das Lungengerüst bleibt erhalten. Die Alveolarlichtungen sind schleimgefüllt und enthalten Schaumzellen.
Bilder Typ
Histologie
Alter
52
Geschlecht
unbekannt
Datum
Ersteintrag: 30.03.2003
Update: 04.02.2024