PathoPic – image database / PathoPic ID 6577 - Nicht muzinöses Bronchioloalveoläres Karzinom

de
Diagnose
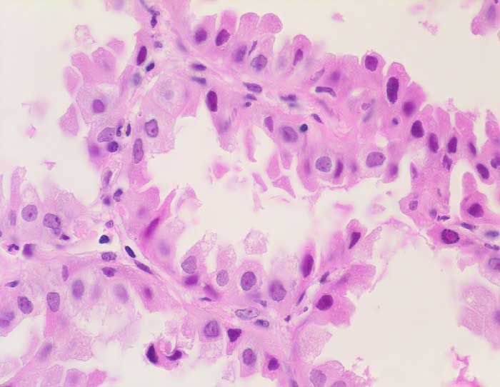
Nicht muzinöses Bronchioloalveoläres Karzinom
Diagnose Gruppe
maligner Tumor
Topographie
Lunge
Topographie Gruppe
Lunge, Mediastinum mit Thymus
Beschreibung
Die dünnen Alveolarsepten werden von hochprismatischen Zellen mit Hobnailaspekt ausgekleidet. Die Kernatypien sind äusserst gering.
Klinik
Infarktpneumonie
Bilder Typ
Histologie
Vergrösserung
400
Alter
79
Geschlecht
unbekannt
Datum
Ersteintrag: 30.03.2003
Update: 04.02.2024