Pathopic
HiPaKu
ZyPaKu
PathoBasic
PathoBasic Cytology
Quizzes
Projektinfos
PathoPic - Projekt- und Copyright-Infos
About
Pathopic
HiPaKu
ZyPaKu
PathoBasic
PathoBasic Cytology
Quizzes
PathoPic – image database
/
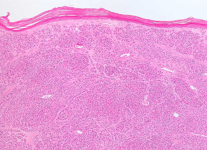
PathoPic ID 6599 - noduläres malignes Melanom
de
Diagnose
noduläres malignes Melanom
Diagnose Gruppe
maligner Tumor
Topographie
Haut, Rumpf
Topographie Gruppe
Haut
Beschreibung
Vertikale Wachstumsphase eines malignen Melanoms vom nodulären Typ. Atrophe hyperkeratotisch verhorndende Epidermis. Die Tumorzellen bilden solide Knoten. Die Epidermis wird nicht infiltriert.
Klinik
Knotiger Tumor am Rücken
Bilder Typ
Histologie
Vergrösserung
50
Geschlecht
männlich
Datum
Ersteintrag: 08.04.2003
Update: 04.02.2024
CPS
·
©
2024 Institut für Pathologie Basel
/
Dr. med. Katharina Glatz-Krieger
.
·
v2.1