PathoPic – image database / PathoPic ID 6632 - Melanoma in situ

de
Diagnose
Melanoma in situ
Diagnose Gruppe
maligner Tumor
Topographie
Haut, Rumpf
Topographie Gruppe
Haut
Beschreibung
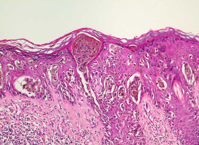
Sehr unterschiedlich grosse und unterschiedlich geformte Nester stark pigmentierter atypischer Melanozyten. Zusätzlich zahlreiche atypische Einzelzellen, die die gesamte Breite der Epidermis durchwandern. Die angrenzende papilläre Dermis ist lymphozytär infiltriert ohne Nachweis von Tumorzellen.
Klinik
Tumor am Rücken: V.a. auf malignes Melanom DD: dysplastischer Naevus.
Bilder Typ
Histologie
Vergrösserung
100
Alter
56
Geschlecht
männlich
Datum
Ersteintrag: 30.06.2003
Update: 04.02.2024