Pathopic
HiPaKu
ZyPaKu
PathoBasic
PathoBasic Cytology
Quizzes
Projektinfos
PathoPic - Projekt- und Copyright-Infos
About
Pathopic
HiPaKu
ZyPaKu
PathoBasic
PathoBasic Cytology
Quizzes
PathoPic – image database
/
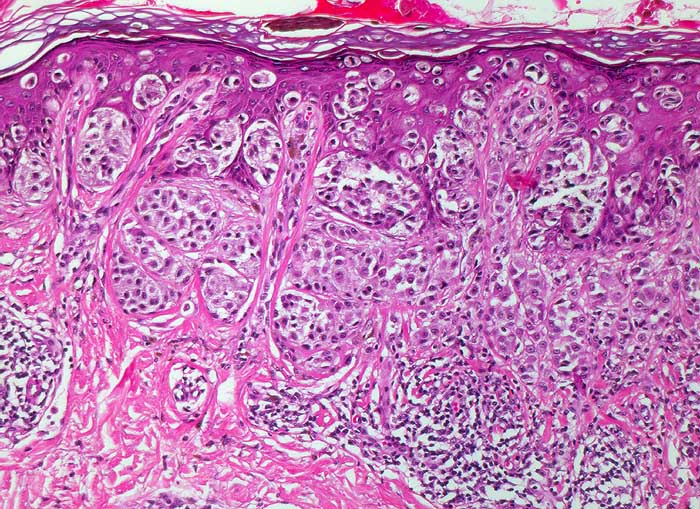
PathoPic ID 6647 - oberflächlich spreitendes Melanom Clark Level III
de
Diagnose
oberflächlich spreitendes Melanom Clark Level III
Diagnose Gruppe
maligner Tumor
Topographie
Haut, Rumpf
Topographie Gruppe
Haut
Beschreibung
Atypische Melanozyten infiltrieren die Epidermis einzeln und in kleinen Nestern (backshot pattern). Die papilläre Dermis wird von Tumornestern vollständig ausgefüllt.
Klinik
Melanom SSM am Rücken
Bilder Typ
Histologie
Vergrösserung
100
Alter
68
Geschlecht
männlich
Datum
Ersteintrag: 30.06.2003
Update: 04.02.2024
CPS
·
©
2024 Institut für Pathologie Basel
/
Dr. med. Katharina Glatz-Krieger
.
·
v2.1