PathoPic – image database / PathoPic ID 6692 - Psoriasis vulgaris

de
Diagnose
Psoriasis vulgaris
Diagnose Gruppe
Entzündung / Reparatur
Topographie
Haut, Rumpf
Topographie Gruppe
Haut
Beschreibung
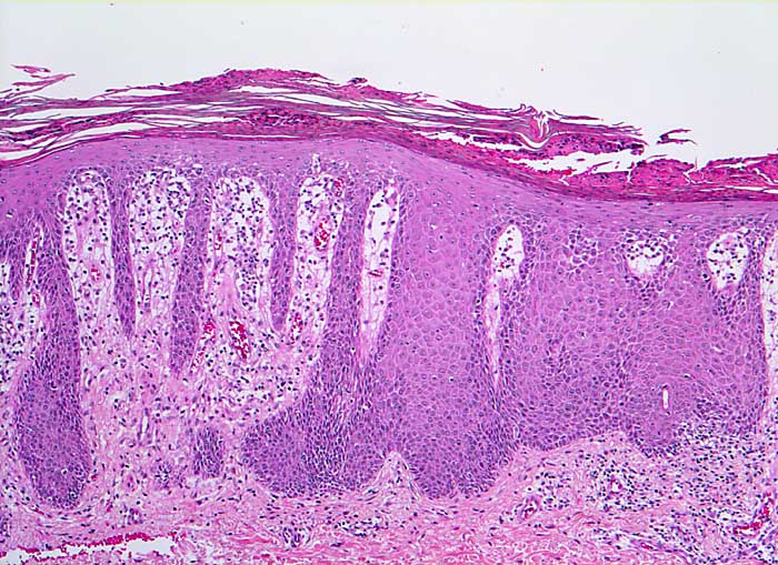
Gleichmässig verlängerte und basal verbreiterte Reteleisten=regelmässige Akanthose. Fokale Spongiose (interzelluläres Ödem). Neutrophilenreiche Parakeratosekappe. Fehlendes Stratum granulosum. Entzündlich infiltriertes ödematöses Stratum papillare mit ektatischen Gefässen und lymphozytärem Entzündungsinfiltrat. Insgesamt liegt das Bild einer spongiotisch-psoriasiformen Dermatitis vor.
Klinik
Seit längerem bestehende erythemato-squamöse Hauteffloereszenz über dem Knie.
Kommentar
Die Histomorphologie ist stadienabhängig. Das Bild zeigt eine vollentwickelte Läsion.
Bilder Typ
Histologie
Vergrösserung
50
Alter
57
Geschlecht
unbekannt
Datum
Ersteintrag: 07.07.2003
Update: 04.02.2024