PathoPic – image database / PathoPic ID 6733 - akrallentiginöses Melanom

de
Diagnose
akrallentiginöses Melanom
Diagnose Gruppe
maligner Tumor
Topographie
Haut, untere Extremität
Topographie Gruppe
Haut
Beschreibung
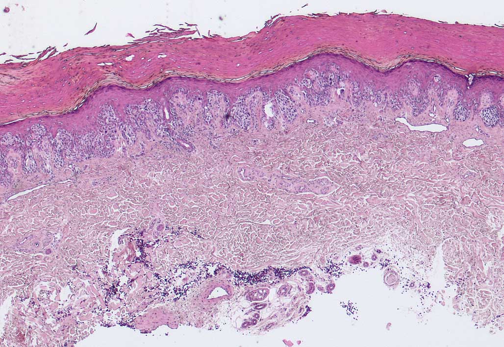
Leistenhaut mit sehr dicker Hornschicht. Breite melanozytäre Läsion mit Überwiegen von Einzelzellen in lentiginöser Ausbreitung.
Klinik
Unregelmässig pigmentierter 7mm grosser Tumor am rechten Grosszeh.
Bilder Typ
Histologie
Vergrösserung
25
Alter
76
Geschlecht
unbekannt
Datum
Ersteintrag: 11.11.2003
Update: 04.02.2024