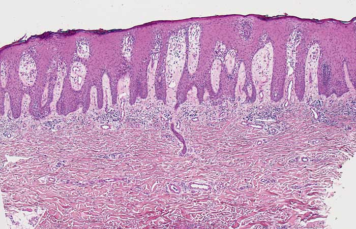
PathoPic – image database / PathoPic ID 6833 - Psoriasis vulgaris

de
Diagnose
Psoriasis vulgaris
Diagnose Gruppe
Entzündung / Reparatur
Topographie
Haut, Rumpf
Topographie Gruppe
Haut
Beschreibung
Regelmässige Akanthose und stark elongierte gleichlange Reteleisten. Das Stratum granulosum fehlt weitgehend. Leichte Spongiose der unteren Epidermisabschnitte. Ödematöse Papillen mit gewundenen ektatischen Kapillarknäueln reichen bis nah an die Hautoberfläche heran. Oberflächliches perivsakuläres und interstitielles lymphozytäres Infiltrat. Das Stratum corneum ist hier nur sehr dünn.
Kommentar
Die Histomorphologie ist stadienabhängig. Das Bild zeigt eine vollentwickelte Läsion.
Bilder Typ
Histologie
Vergrösserung
25
Alter
60
Geschlecht
männlich
Datum
Ersteintrag: 28.11.2003
Update: 04.02.2024