PathoPic – image database / PathoPic ID 6835 - Psoriasis vulgaris

de
Diagnose
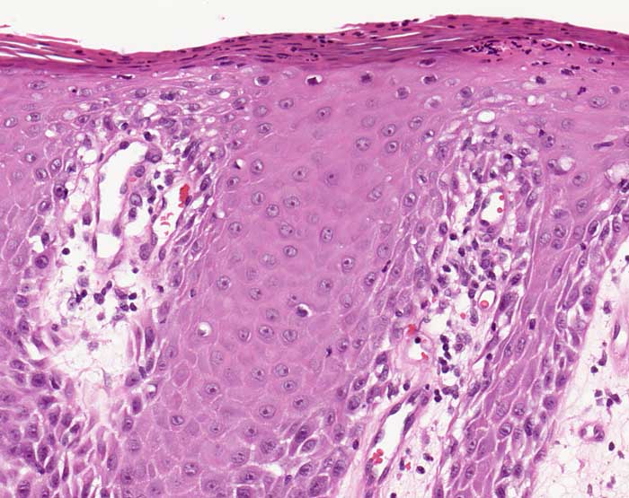
Psoriasis vulgaris
Diagnose Gruppe
Entzündung / Reparatur
Topographie
Haut, Rumpf
Topographie Gruppe
Haut
Beschreibung
Langstreckige Parakeratose mit Ansammlungen von neutrophilen Granulozyten. Das Stratum granulosum fehlt weitgehend. Leichte Spongiose der unteren Epidermisabschnitte. Blässe der oberen Epidermisschichten. Ödematöse Papillen mit gewundenen ektatischen Kapillarknäueln reichen bis nah an die Hautoberfläche heran. Perivaskuläres lymphozytäres Infiltrat.
Kommentar
Die Histomorphologie ist stadienabhängig. Das Bild zeigt eine vollentwickelte Läsion.
Bilder Typ
Histologie
Vergrösserung
200
Alter
60
Geschlecht
männlich
Datum
Ersteintrag: 28.11.2003
Update: 04.02.2024