PathoPic – image database / PathoPic ID 686 - Angiosarkom

de
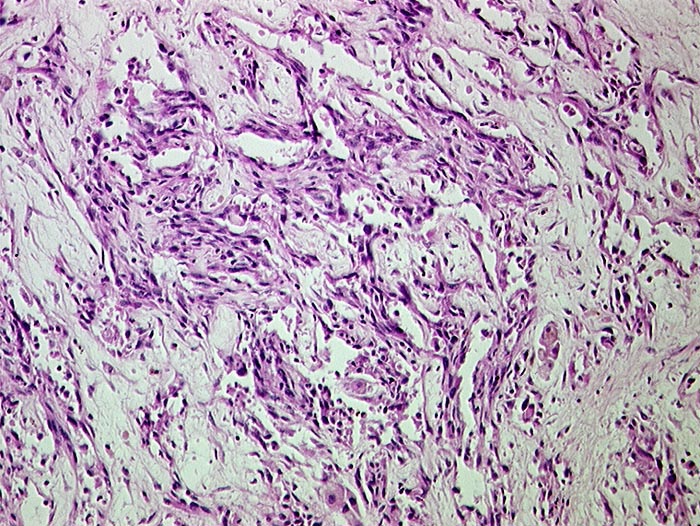
Diagnose
Angiosarkom
Diagnose Gruppe
maligner Tumor
Topographie
Leber
Topographie Gruppe
Leber, Gallenwege, Pankreas
Beschreibung
Gefässräume ausgekleidet durch atypisches Endothel.
Bilder Typ
Histologie
Geschlecht
männlich
Datum
Ersteintrag: 16.11.2001
Update: 04.02.2024