PathoPic – image database / PathoPic ID 6861 - Chronische Radiodermatitis

de
Diagnose
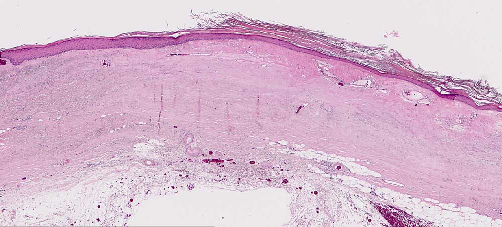
Chronische Radiodermatitis
Diagnose Gruppe
Therapiefolgen
Topographie
Haut, Rumpf
Topographie Gruppe
Haut
Beschreibung
Herdförmige Hyperkeratose. Vollständige Atrophie der Adnexe. Dermale Sklerose und fokale Elastose. Teleangiektasien. Fibröse Wandverdickung der Blutgefässe.
Klinik
Fraktionierte Bestrahlung vor mehreren Jahren.
Bilder Typ
Histologie
Vergrösserung
25
Alter
75
Geschlecht
unbekannt
Datum
Ersteintrag: 29.11.2003
Update: 04.02.2024