Diagnose
Chronische Radiodermatitis
Diagnose Gruppe
Therapiefolgen
Beschreibung
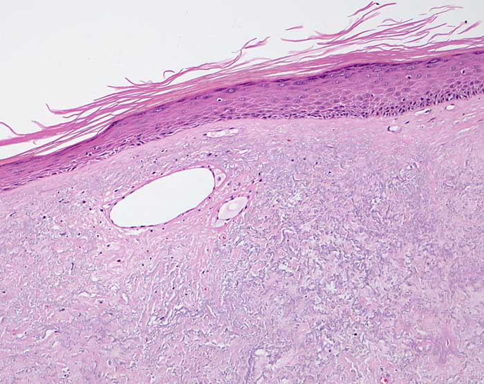
Hyperkeratose. Vollständige Atrophie der Adnexe. Dermale Sklerose und ausgeprägte Elastose. Teleangiektasien.
Klinik
Fraktionierte Bestrahlung vor mehreren Jahren.
Datum
Ersteintrag: 29.11.2003
Update: 04.02.2024