Diagnose
Schwer stenosierende Koronarsklerose
Diagnose Gruppe
vaskulär / Durchblutungsstörung
Topographie
Arteria coronaris
Topographie Gruppe
Kardiovaskuläres System
Beschreibung
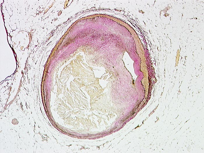
Ein grösseres Atherom und die fibrotische Verdickung der Intima stenosieren das Lumen der Koronararterie. Es besteht eine mehr als 75 prozentige Stenose des Lumens.
Datum
Ersteintrag: 16.11.2001
Update: 04.02.2024