PathoPic – image database / PathoPic ID 708 - Sarkoidosegranulom

de
Diagnose
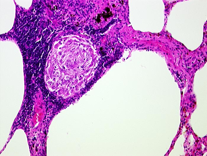
Sarkoidosegranulom
Diagnose Gruppe
Entzündung / Reparatur
Topographie
Lunge
Topographie Gruppe
Lunge, Mediastinum mit Thymus
Beschreibung
Granulom aus Epitheloidzellen umgeben von Lymphozyten in einem Alveolarseptum.
Zusatzbefund
Granulome in Lungen, Bronchialschleimhaut, Leber, Milz und Lymphknoten pulmonal
Bilder Typ
Histologie
Alter
56
Geschlecht
unbekannt
Datum
Ersteintrag: 16.11.2001
Update: 04.02.2024