PathoPic – image database / PathoPic ID 712 - Mukormykose (Zygomykose; Phycomykose)

de
Diagnose
Mukormykose (Zygomykose; Phycomykose)
Diagnose Gruppe
Entzündung infektiös
Topographie
Magen
Topographie Gruppe
Oesophagus, Magen
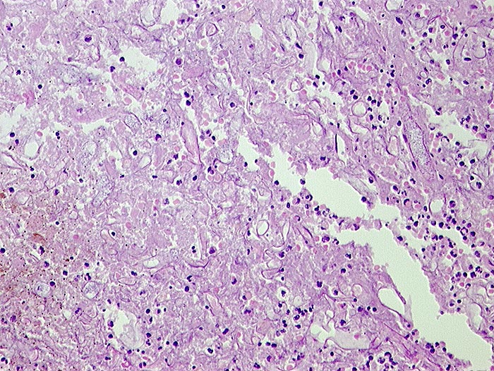
Beschreibung
Plumpe unregelmässig geformte nicht septierte Myzelien mit rechtwinkligen Verzweigungen. Im Hintergrund Detritus und Granulozyten aus Ulkusgrund.
Zusatzbefund
Magenulkus mit Mukorbesiedelung
Bilder Typ
Histologie
Alter
80
Geschlecht
männlich
Datum
Ersteintrag: 05.05.2002
Update: 04.02.2024