PathoPic – image database / PathoPic ID 713 - Lungenödem

de
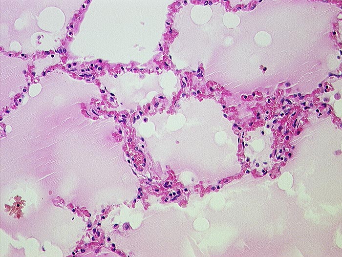
Diagnose
Lungenödem
Diagnose Gruppe
vaskulär / Durchblutungsstörung
Topographie
Lunge
Topographie Gruppe
Lunge, Mediastinum mit Thymus
Beschreibung
Alveolarkapillaren prallgefüllt mit Erythrozyten. In den Alveolarräumen Ödemflüssigkeit.
Zusatzbefund
Rippen- und Sternumfraktur nach Reanimation
Klinik
St.n. Reanimation
Bilder Typ
Histologie
Alter
60
Geschlecht
unbekannt
Datum
Ersteintrag: 16.11.2001
Update: 04.02.2024