Diagnose
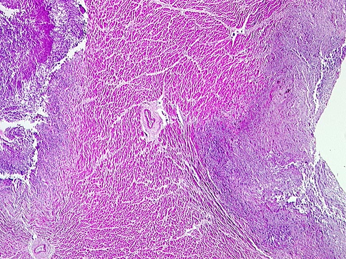
Septisch embolische Myokarditis: Aspergillussepsis
Diagnose Gruppe
Entzündung infektiös
Topographie Gruppe
Kardiovaskuläres System
Beschreibung
Ausgedehnte Myokardnekrosen (blaue Areale)
Zusatzbefund
Septische Herde in Haut, Nieren und Herz
Klinik
Chronische lymphatische Leukämie. St.n. Chemotherapie. Steroiddauertherapie.
Datum
Ersteintrag: 16.11.2001
Update: 04.02.2024