PathoPic – image database / PathoPic ID 717 - Septisch embolische Nephritis: Aspergillussepsis

de
Diagnose
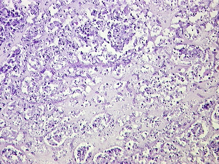
Septisch embolische Nephritis: Aspergillussepsis
Diagnose Gruppe
Entzündung infektiös
Topographie
Niere
Topographie Gruppe
Niere, Harnwege
Beschreibung
Nekroseherd im Nierenmark durchsetzt von Aspergillusmyzelien.
Zusatzbefund
Septische Herde in Haut, Nieren und Herz
Klinik
Chronische lymphatische Leukämie. St.n. Chemotherapie. Steroiddauertherapie.
Bilder Typ
Histologie
Alter
80
Geschlecht
männlich
Datum
Ersteintrag: 19.11.2001
Update: 04.02.2024