PathoPic – image database / PathoPic ID 726 - Atypische Mykobakteriose

de
Diagnose
Atypische Mykobakteriose
Diagnose Gruppe
Entzündung infektiös
Topographie
Lymphknoten, abdominal
Topographie Gruppe
Lymphatische Gewebe, KM, Milz
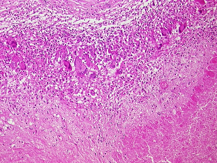
Beschreibung
Mesenteriale Lymphknoten mit verkäsenden Granulomen aus Epitheloidzellen und Riesenzellen.
Zusatzbefund
Nachweis von Mycobacterium avium intracellulare
Klinik
AIDS. HIV Positivität bekannt seit 2 Jahren bei iv Drogenabusus. Pneumocystis carinii Pneumonie.
Bilder Typ
Histologie
Alter
38
Geschlecht
unbekannt
Datum
Ersteintrag: 19.11.2001
Update: 04.02.2024