PathoPic – image database / PathoPic ID 7285 - Klonale seborrhoische Warze (Borst Jadassohn Phänomen)

de
Diagnose
Klonale seborrhoische Warze (Borst Jadassohn Phänomen)
Diagnose Gruppe
benigner Tumor
Topographie
Haut, Rumpf
Topographie Gruppe
Haut
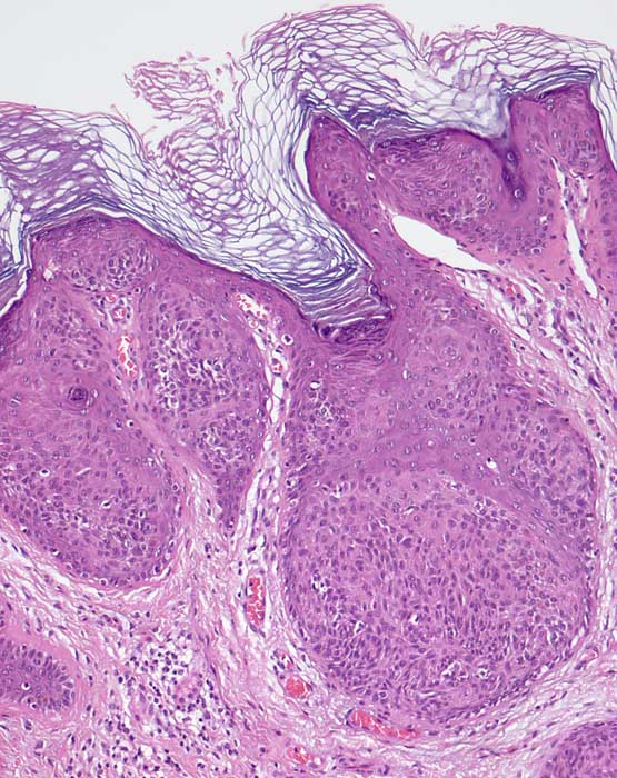
Beschreibung
Hyperplastische Epidermis mit umschriebenen Epithelnestern.
Klinik
Seborrhoische Warze
Kommentar
Das Borst Jadasshon Phänomen mit intraepidermalen Nestern kann bei verschiedenen Tumorarten auftreten: Hidroacanthoma simplex (intraepidermales Porom), seborrhoische Warze, Morbus Bowen.
Bilder Typ
Histologie
Vergrösserung
100
Alter
68
Geschlecht
männlich
Datum
Ersteintrag: 23.12.2003
Update: 04.02.2024