Diagnose
Septische Embolie
Diagnose Gruppe
Entzündung infektiös
Topographie Gruppe
Lunge, Mediastinum mit Thymus
Beschreibung
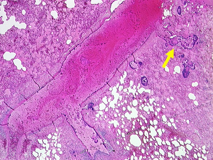
► Blaue Bakterienhaufen in einem Pulmonalarterienast und im angrenzenden Lungenparenchym. Lungenödem und Hämorrhagien.
Zusatzbefund
Septische Embolien in der Lunge. Nachweis koagulasepositiver Staphylokokken im Blut und im Perikarderguss.
Klinik
Exzision einer axillären Pyodermie (wahrscheinlich Furunkel) durch den Patienten selbst vor 10 Tagen. Staphylokokkus aureus Sepsis. Septisch toxischer Schock mit Herzstillstand.
Kommentar
Die Mortalität bei Staphylokokkensepsis mit Pneumonie beträgt über 80%.
Datum
Ersteintrag: 19.11.2001
Update: 04.02.2024