PathoPic – image database / PathoPic ID 7680 - infiltratives sklerodermiformes Basaliom

de
Diagnose
infiltratives sklerodermiformes Basaliom
Diagnose Gruppe
Präneoplasie/ Atypie/ Dignität?
Topographie
Haut, Rumpf
Topographie Gruppe
Haut
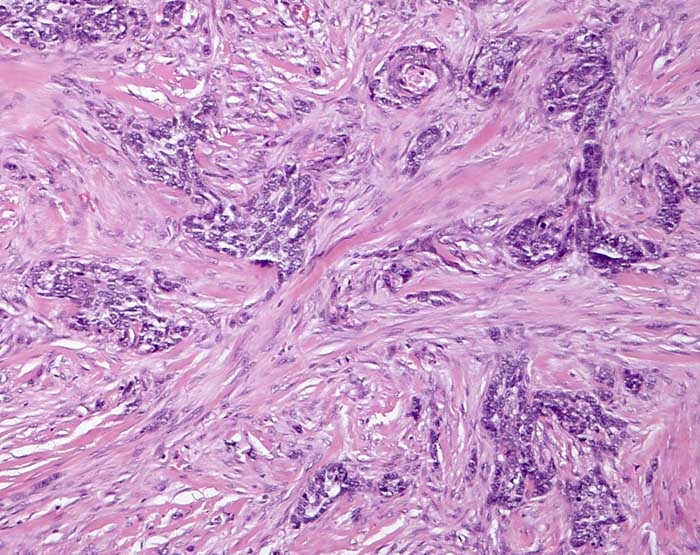
Beschreibung
Basaloide Zellkomplexe werden von reichlich desmoplastischem Stroma komprimiert.
Klinik
Basaliom mit porzellanartiger weiss glänzender Oberfläche.
Kommentar
Dieser Tumor ist oft ausgedehnter als klinisch sichtbar. Die Schnittrandkontrolle muss deshalb intraoperativ mit Schnellschnitt erfolgen.
Bilder Typ
Histologie
Vergrösserung
100
Alter
70
Geschlecht
männlich
Datum
Ersteintrag: 04.01.2004
Update: 04.02.2024