Pathopic
HiPaKu
ZyPaKu
PathoBasic
PathoBasic Cytology
Quizzes
Projektinfos
PathoPic - Projekt- und Copyright-Infos
About
Pathopic
HiPaKu
ZyPaKu
PathoBasic
PathoBasic Cytology
Quizzes
PathoPic – image database
/
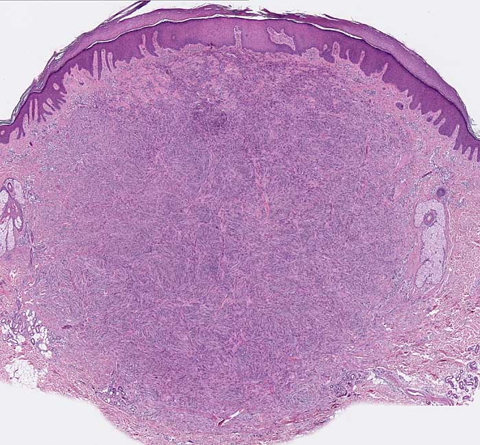
PathoPic ID 7793 - fibröses Histiozytom
de
Diagnose
fibröses Histiozytom
Diagnose Gruppe
benigner Tumor
Topographie
Haut, obere Extremität
Topographie Gruppe
Haut
Beschreibung
Die Epidermis zeigt eine leichte Hyperkeratose und Akanthose. Von der Epidermis durch eine schmale Kollagenfaserschicht abgegrenzt findet sich in der Dermis ein zellreicher spindelzelliger kugeliger Tumor mit unscharfer Begrenzung.
Klinik
Derber Knoten am Oberarm
Bilder Typ
Histologie
Vergrösserung
25
Alter
27
Geschlecht
unbekannt
Datum
Ersteintrag: 07.01.2004
Update: 04.02.2024
CPS
·
©
2024 Institut für Pathologie Basel
/
Dr. med. Katharina Glatz-Krieger
.
·
v2.1