Pathopic
HiPaKu
ZyPaKu
PathoBasic
PathoBasic Cytology
Quizzes
Projektinfos
PathoPic - Projekt- und Copyright-Infos
About
Pathopic
HiPaKu
ZyPaKu
PathoBasic
PathoBasic Cytology
Quizzes
PathoPic – image database
/
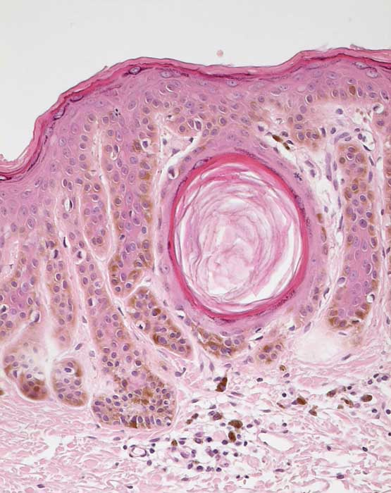
PathoPic ID 7838 - Retikuläre seborrhoische Warze
de
Diagnose
Retikuläre seborrhoische Warze
Diagnose Gruppe
organspezifische Erkrankung
Topographie
Haut, Kopf
Topographie Gruppe
Haut
Beschreibung
Zweireihige basaloide Stränge und Hornzyste.
Klinik
Lentigo
Bilder Typ
Histologie
Vergrösserung
200
Alter
73
Geschlecht
unbekannt
Datum
Ersteintrag: 08.02.2004
Update: 04.02.2024
CPS
·
©
2024 Institut für Pathologie Basel
/
Dr. med. Katharina Glatz-Krieger
.
·
v2.1