Pathopic
HiPaKu
ZyPaKu
PathoBasic
PathoBasic Cytology
Quizzes
Projektinfos
PathoPic - Projekt- und Copyright-Infos
About
Pathopic
HiPaKu
ZyPaKu
PathoBasic
PathoBasic Cytology
Quizzes
PathoPic – image database
/
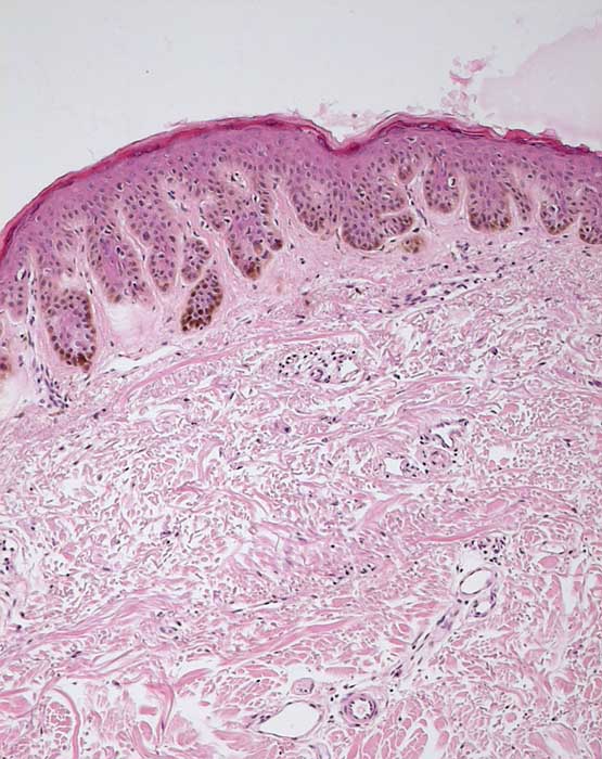
PathoPic ID 7839 - Solare Lentigo
de
Diagnose
Solare Lentigo
Diagnose Gruppe
organspezifische Erkrankung
Topographie
Haut, Kopf
Topographie Gruppe
Haut
Beschreibung
Unregelmässige keulenförmige Verlängerung der Reteleisten und basale Hyperpigmentierung ohne Vermehrung der Melanozyten. Solare Elastose. .
Klinik
Lentigo
Bilder Typ
Histologie
Vergrösserung
100
Alter
73
Geschlecht
unbekannt
Datum
Ersteintrag: 08.02.2004
Update: 04.02.2024
CPS
·
©
2024 Institut für Pathologie Basel
/
Dr. med. Katharina Glatz-Krieger
.
·
v2.1