PathoPic – image database / PathoPic ID 7923 - Papilläres Urothelkarzinom mikropapilläre Variante

de
Diagnose
Papilläres Urothelkarzinom mikropapilläre Variante
Diagnose Gruppe
maligner Tumor
Topographie
Harnblase
Topographie Gruppe
Niere, Harnwege
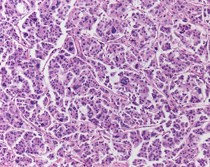
Beschreibung
Invasive Tumorkomponente bestehend aus mikropapillären Zellproliferaten, die typischerweise innerhalb von Lakunen liegen. Zwischen den einzelnen Mikropapillen schmale Bindegewebssepten mit Kapillaren. Einzelne Tumorzellen zeigen grosse polymorphe und hyperchromatische Kerne. Das Bild erinnert stark an ein serös papilläres Ovarialkarzinom.
Klinik
Neu entdeckter papillärer Blasen-Tumor mit V.a. solide Anteile. Malignität?
Kommentar
Meist treten mikropapilläre Karzinome in Assoziation mit einem höhergradigen konventionellen Urothelkarzinom auf. Meist handelt es sich um fortgeschrittene Tumoren, die eine Gefässinvasion aufweisen. Bei Frauen muss differentialdiagnostisch an ein Ovarialkarzinom gedacht werden. Meist sind jedoch Anteile eines konventionellen Urothelkarzinoms nachweisbar.
Am J Surg Pathol 18 (12): 1224-1232, 1994
Bilder Typ
Histologie
Vergrösserung
100
Alter
83
Geschlecht
männlich
Datum
Ersteintrag: 20.07.2004
Update: 04.02.2024