PathoPic – image database / PathoPic ID 7974 - Pigmentierte seborrhoische Keratose vom akanthotischen Typ

de
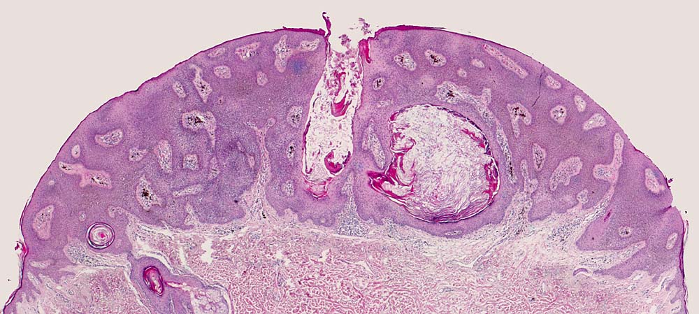
Diagnose
Pigmentierte seborrhoische Keratose vom akanthotischen Typ
Diagnose Gruppe
benigner Tumor
Topographie
Haut, Hals
Topographie Gruppe
Haut
Beschreibung
Akanthotische seborrhoische Warze mit ausgeprägter Pigmentierung. Melanophagen in der papillären Dermis. Keratingefüllte Epidermisinvagination und Hornzysten.
Klinik
Hauttumor am Nacken. Melanom?
Bilder Typ
Histologie
Vergrösserung
25
Alter
75
Geschlecht
männlich
Datum
Ersteintrag: 05.08.2004
Update: 04.02.2024