PathoPic – image database / PathoPic ID 7975 - Pigmentierte seborrhoische Keratose vom akanthotischen Typ

de
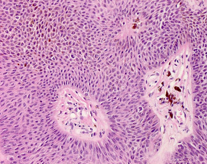
Diagnose
Pigmentierte seborrhoische Keratose vom akanthotischen Typ
Diagnose Gruppe
benigner Tumor
Topographie
Haut, Hals
Topographie Gruppe
Haut
Beschreibung
Intraepidermale Proliferation monomorpher zytoplasmaarmer basaloider Tumorzellen. Zahlreiche Tumorzellen sind kräftig pigmentiert. Melanophagen in der papillären Dermis.
Klinik
Hauttumor am Nacken. Melanom?
Bilder Typ
Histologie
Vergrösserung
200
Alter
75
Geschlecht
männlich
Datum
Ersteintrag: 05.08.2004
Update: 04.02.2024