PathoPic – image database / PathoPic ID 813 - Glykogenakanthose

de
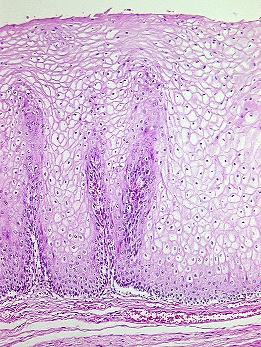
Diagnose
Glykogenakanthose
Diagnose Gruppe
Normalbefund
Topographie
Oesophagus
Topographie Gruppe
Oesophagus, Magen
Beschreibung
Plattenepithelzellen mit pflanzenzellartig aufgetriebenem hellem Zytoplasma aufgrund vermehrter Glykogeneinlagerungen. Ausserdem verlängerte Papillen als Hinweis auf Reflux.
Kommentar
Ohne Krankheitswert. Kann vom Endoskopiker als Soor fehlinterpretiert werden.
Bilder Typ
Histologie
Alter
86
Geschlecht
männlich
Datum
Ersteintrag: 21.11.2001
Update: 04.02.2024