Diagnose
Grob invasives follikuläres Schilddrüsenkarzinom
Diagnose Gruppe
maligner Tumor
Topographie Gruppe
Endokrinium
Beschreibung
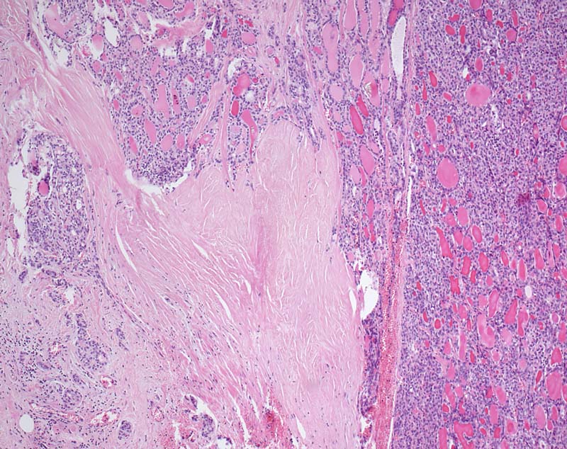
Der follikuläre Tumor durchbricht die breite bindegewebige Kapsel.
Zusatzbefund
Kapseldurchbrüche mit ausgedehnter Invasion des benachbarten Gewebes fanden sich an zahlreichen Stellen. Somit handelt es sich um ein grob invasives follikuläres Karzinom.
Klinik
Follikuläre Neoplasie der Schilddrüse
Datum
Ersteintrag: 20.01.2005
Update: 04.02.2024