PathoPic – image database / PathoPic ID 816 - Akuter Myokardinfarkt

de
Zeitverlauf
Diagnose
Akuter Myokardinfarkt
Diagnose Gruppe
vaskulär / Durchblutungsstörung
Topographie
Herz links
Topographie Gruppe
Kardiovaskuläres System
Beschreibung
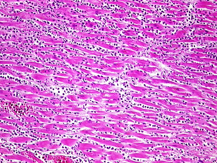
Nekrotische Myokardfasern ohne erkennbare Kerne. Dichtes granulozytäres Infiltrat.
Zusatzbefund
Paninfarkt bei schwer stenosierender Koronarsklerose mit Abgangstenose beider Hauptäste. Alter Verschluss der Arteria coronaria dextra.
Klinik
Verdacht auf koronare Herzkrankheit. Arterielle Hypertonie.
Kommentar
Zelluläre Infiltrate sind nach minimal 3 Stunden sichtbar. Kontraktionsbänder entstehen, wenn das hypoxisch geschädigte Myokard sich noch kontrahiert, aber nicht mehr relaxieren kann.
Bilder Typ
Histologie
Alter
78
Geschlecht
unbekannt
Datum
Ersteintrag: 21.11.2001
Update: 04.02.2024