PathoPic – image database / PathoPic ID 8265 - Follikuläres Schilddrüsenkarzinom: Gefässeinbruch

de
Diagnose
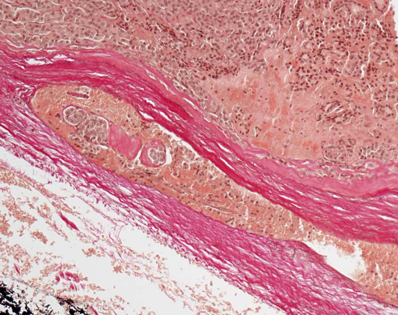
Follikuläres Schilddrüsenkarzinom: Gefässeinbruch
Diagnose Gruppe
maligner Tumor
Topographie
Schilddrüse
Topographie Gruppe
Endokrinium
Beschreibung
In einem endothelausgekleideten Gefäss der Tumorkapsel ist ein organisierter Tumorthrombus erkennbar.
Klinik
Vor einem Jahr Schilddrüsenteilresektion wegen follikulärem Karzinom. Jetzt Resthyreoidektomie wegen Rezidiv.
Kommentar
Als eindeutige Gefässeinbrüche eines Schilddrüsenkarzinoms sind ausschliesslich Tumorthromben oder wandhaftende Tumorzellen in einem Gefäss in oder ausserhalb der Tumorkapsel anzusehen. Während der Verarbeitung des Operationspräparates werden oft einzelne Tumorzellen in Gefässlumina reingewischt. Solche reaktionslos innerhalb des Gefässlumens liegende Tumorzellen gelten nicht als Gefässeinbrüche (siehe Bild 8266).
Bilder Typ
Histologie
Vergrösserung
100
Alter
85
Geschlecht
unbekannt
Datum
Ersteintrag: 02.03.2005
Update: 04.02.2024