PathoPic – image database / PathoPic ID 8267 - Grob invasives follikuläres Schilddrüsenkarzinom: Kapseldurchbruch

de
Diagnose
Grob invasives follikuläres Schilddrüsenkarzinom: Kapseldurchbruch
Diagnose Gruppe
maligner Tumor
Topographie
Schilddrüse
Topographie Gruppe
Endokrinium
Beschreibung
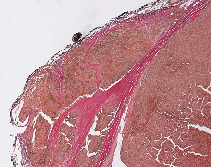
Der follikuläre Tumor hat die dicke bindegewebige Kapsel mehrfach durchbrochen und ist nur noch von einer sehr dünnen Neokapsel bedeckt, welche den mit schwarzer Tusche markierten Resektionsrand bildet.
Zusatzbefund
Es fanden sich multiple Kapseldurchbrüche und Gefässeinbrüche. Somit handelt es sich um ein grob invasives follikuläres Karzinom.
Klinik
Vor einem Jahr Schilddrüsenteilresektion wegen follikulärem Karzinom. Jetzt Resthyreoidektomie wegen Rezidiv.
Bilder Typ
Histologie
Vergrösserung
25
Alter
85
Geschlecht
unbekannt
Datum
Ersteintrag: 02.03.2005
Update: 04.02.2024