PathoPic – image database / PathoPic ID 836 - Morbus Basedow: Sanderson Polster

de
Diagnose
Morbus Basedow: Sanderson Polster
Diagnose Gruppe
organspezifische Erkrankung
Topographie
Schilddrüse
Topographie Gruppe
Endokrinium
Beschreibung
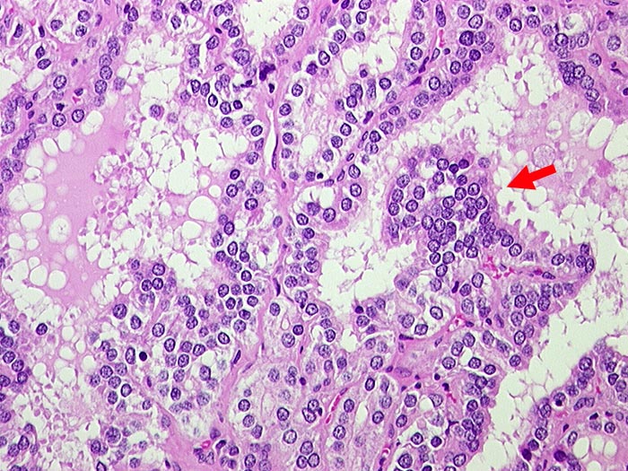
Follikellumina gefüllt mit wenig hellem Kolloid. Grosse Resorptionsvakuolen. Epithelproliferationen wölben sich in das Follikellumen vor ( Sanderson-Polster).
Zusatzbefund
Makroskopisch diffus vergrösserte Schilddrüse mit auffallend hellem homogenem mittellobuliertem Parenchym.
Klinik
Morbus Basedow.
Bilder Typ
Histologie
Alter
41
Geschlecht
unbekannt
Datum
Ersteintrag: 21.11.2001
Update: 04.02.2024