PathoPic – image database / PathoPic ID 8419 - Solare Keratose bowenoider Typ

de
Diagnose
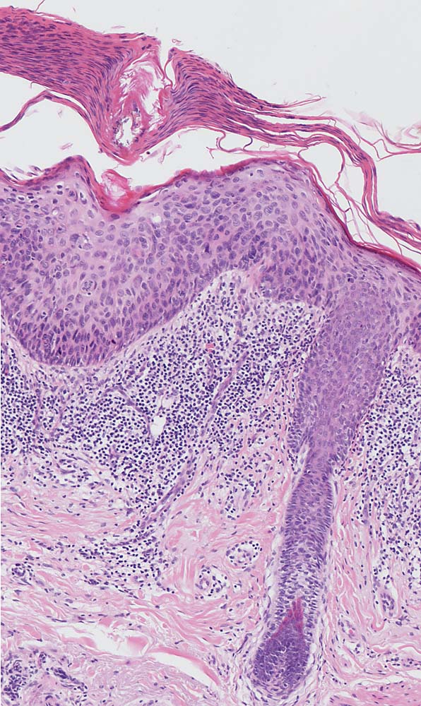
Solare Keratose bowenoider Typ
Diagnose Gruppe
Präneoplasie/ Atypie/ Dignität?
Topographie
Haut, Kopf
Topographie Gruppe
Haut
Beschreibung
Hyper-parakeratotisch verhornende akanthotisch verbreiterte Epidermis. Dysplasie des Plattenepithels (vergrösserte hyperchromatische Zellkerne) auf der gesamten Epithelbreite unter Aussparung des Follikelepithels. Bandförmiges Entzündungsinfiltrat in der dermoepidermalen Junktionszone.
Klinik
Aktinische Keratose der Wangenhaut.
Bilder Typ
Histologie
Alter
80
Geschlecht
unbekannt
Datum
Ersteintrag: 28.12.2005
Update: 04.02.2024