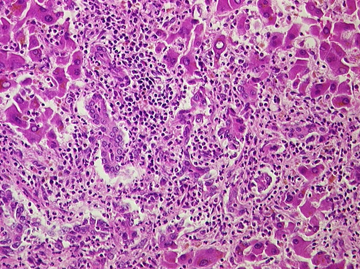
Diagnose
Eitrige Cholangitis
Diagnose Gruppe
Entzündung infektiös
Topographie Gruppe
Leber, Gallenwege, Pankreas
Beschreibung
Portalfeld in der unteren Bildhälfte mit dichtem granulozytärem Entzündungsinfiltrat, welches auf die Gallengänge übergreift.
Zusatzbefund
Metastasierendes Pankreaskarzinom mit Tumorbefall von Ductus choledochus und cysticus.
Datum
Ersteintrag: 22.11.2001
Update: 04.02.2024