PathoPic – image database / PathoPic ID 896 - Kavernöses Hämangiom

de
Diagnose
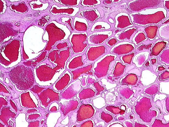
Kavernöses Hämangiom
Diagnose Gruppe
benigner Tumor
Topographie
Leber
Topographie Gruppe
Leber, Gallenwege, Pankreas
Beschreibung
Tumor aufgebaut aus grosslumigen dünnwandigen Gefässen.
Zusatzbefund
Tumordurchmesser 10cm.
Bilder Typ
Histologie
Vergrösserung
Scan
Alter
71
Geschlecht
männlich
Datum
Ersteintrag: 22.11.2001
Update: 04.02.2024