PathoPic – image database / PathoPic ID 966 - Adenomatoidtumor

de
Diagnose
Adenomatoidtumor
Diagnose Gruppe
benigner Tumor
Topographie
Nebenniere
Topographie Gruppe
Endokrinium
Beschreibung
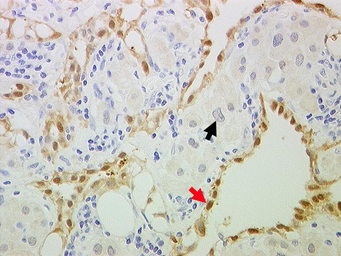
Die Kerne der Tumorzellen färben sich positiv an mit dem Mesothelzellmarker Calretinin. Residuelles Nebennierengewebe ist negativ.
Zusatzbefund
6.5 x 4.5 x 4cm messender Tumor. Gewicht 36g. Auf Schnitt ein überwiegend solider, in den Randpartien feinzystischer schwammiger grauweisser Tumor.
Klinik
Basale Pneumonie. In der Computertomographie des Abdomens Zufallsbefund eines Nebennierentumors. Dieser wurde nach Abklingen der Pneumonie exzidiert.
Bilder Typ
Histologie
Immunhistochemie
Calretinin
Alter
54
Geschlecht
männlich
Datum
Ersteintrag: 27.11.2001
Update: 04.02.2024