PathoPic – image database / PathoPic ID 9738 - Oberflächlich multizentrisches Basalzellkarzinom

de
Diagnose
Oberflächlich multizentrisches Basalzellkarzinom
Diagnose Gruppe
Präneoplasie/ Atypie/ Dignität?
Topographie
Haut, Kopf
Topographie Gruppe
Haut
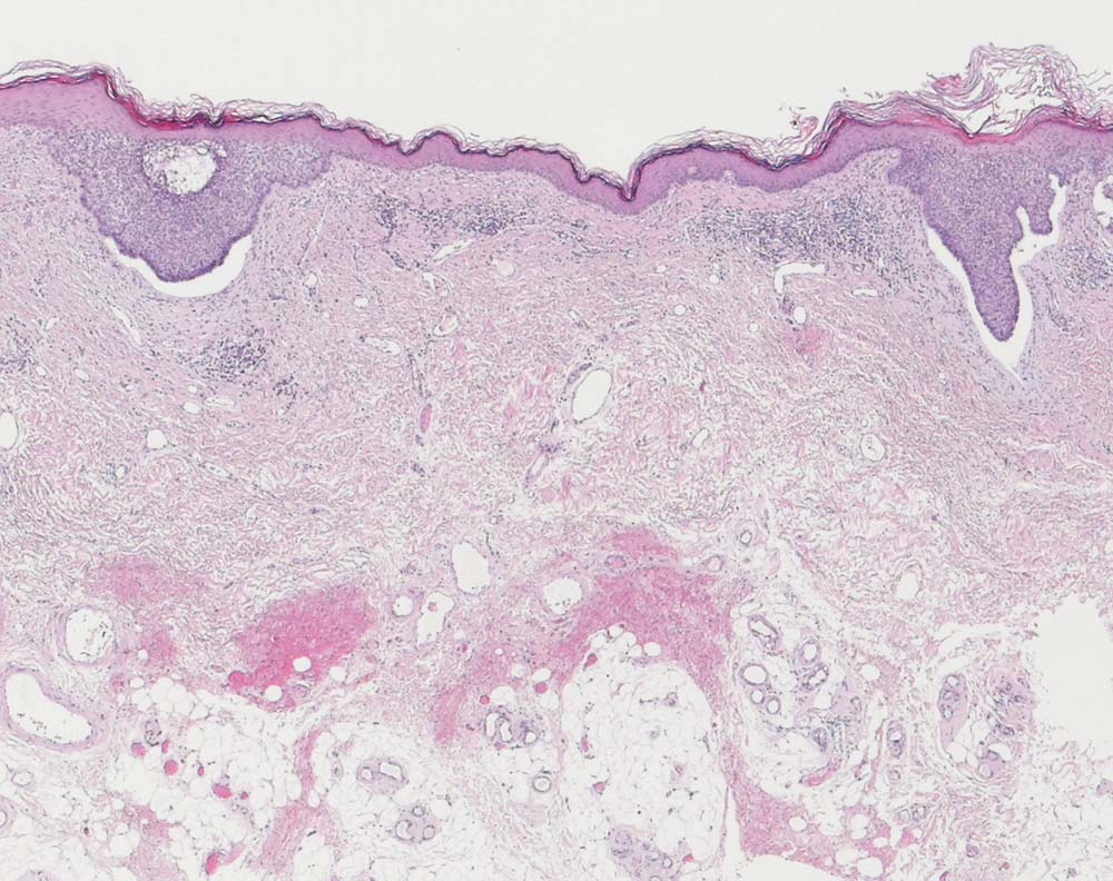
Beschreibung
Von der Epidermis ausgehende basaloide Zellnester mit peripherer Palisadierung und charakteristischem Retraktionsartefakt zwischen Tumorzellen und angrenzendem Stroma. Zwischen beiden Zellnestern ist die Haut tumorfrei.
Klinik
Basaliom Axilla.
Bilder Typ
Histologie
Vergrösserung
25
Alter
68
Geschlecht
unbekannt
Datum
Ersteintrag: 30.07.2007
Update: 04.02.2024