PathoPic – image database / PathoPic ID 99 - frischer Deckplattenaufbruch

de
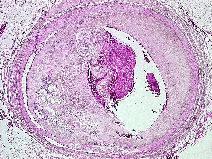
Diagnose
frischer Deckplattenaufbruch
Diagnose Gruppe
vaskulär / Durchblutungsstörung
Topographie
Arteria coronaris
Topographie Gruppe
Kardiovaskuläres System
Beschreibung
Auf der abgerissenen Deckplatte hat sich eine kleine Thrombose gebildet
Klinik
Transmuraler akuter Myokardinfarkt bei Deckplattenaufbruch des RIVA mit Thrombose.
Diabetes mellitus Typ II.
Adipositas.
Bilder Typ
Histologie
Alter
77
Geschlecht
unbekannt
Datum
Ersteintrag: 24.10.2001
Update: 04.02.2024