Diagnose Gruppe
Metaplasie / Heterotopie
Topographie Gruppe
Genitalorgane, weiblich
Beschreibung
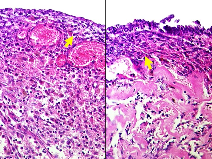
Auskleidung einer Schokoladezyste: links im Bild fehlt das Epithel. Ein schmaler Streifen endometranes ► Stroma ist sichtbar. Darunter zahlreiche Hämosiderinhaltige Makrophagen. Rechts ist das Epithel erhalten.
Zusatzbefund
Prallelastische Zyste mit 10ml dunkelbrauner Flüssigkeit.
Klinik
Schokoladezyste. V.a. Endometriose.
Datum
Ersteintrag: 28.11.2001
Update: 04.02.2024